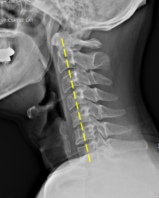
척추에는 뼈의 정렬과 움직임 그리고 안정감을 담당하기 위함으로 지지대 역할을 하는 여러 인대가 존재해요. 전형적으로 척추 전방의 전종인대와 후방의 후종인대를 들 수 있어요. 척추는 목 부위의 경추부터 꼬리뼈 주위 천추에 이르는 33개의 뼈로 되어 있으며 척추관은 척추 가운데 관 형상의 빈 공간으로 척추관 속에는 뇌로부터 팔다리까지 신경이 지나가는 통로라고 할수 있습니다.
대비적으로 동양인에게서 많이 나타날 수 있고 가족력과 관계가 깊은 것으로 알려져 있어요. 또한 바깥 부분 충격에 의한 손상, 비만, 강직성 척추염, 당뇨병, 면역 질환과도 결부할 수 있는 것으로 노출된 후종인대 골화증의 명료한 원인은 여기까지 노출되지 않았다고 해요.
오늘은 목디스크 증상에 대해 확인해 보도록 하겠습니다.






목디스크 증상 - 만성두통 & 어지럼증 동반
이유를 알 수 없는 어지럼증, 두통, 울렁거림도 목디스크 초기 증상이라고 할 수 있고요. 수면장애, 소화장애, 우울증 들도 목디스크의 합병증으로 생성되기도 하느데요 목디스크가 출현하면 목뼈 중간에 위치하고 있는 디스크가 압박되므로 목과 주위 신경이 압박되는 만큼 두통 증상이 한동안 연속된다면 검진을 받아보시는 것이 좋아요.
목디스크 증상 - 팔다리저림증상
목디스크가 생기면 경추 사이 디스크가 밀려나오며 팔이나 손가락으로 걸치는 신경을 눌러서 억누르게 됩니다 하더라고요. 압박증상으로 말미암아 해당 부위의 감각이 둔해지며 척추가 불안정하게도면 부근에 자리한 관절까지 영향을 미치게 돼 바랍니다. 그러면서 어깨 통증도 나타나게 되지만 이러한 어깨 통증을 느끼시면 오십견 등의 어깨질환과 혼동할 수 있다고 하지만 머리 뒤에 손을 얹는 동작을 하면 통증이 감퇴하는 경우도 있어서 목디스크로 의심을 해보시고 진료를 받아보시는 걸 권장드립니다.






목디스크 증상 -목 통증
목의 디스크가 손상이 일어나서 부근 신경을 자극하여 심각한 통증을 같이할수 있는데요 통증은 상식적으로 목의 한쪽 면에 유발되며, 어깨나 팔까지 타나날 수 있습니다.






목디스크 증상 -근력 약화
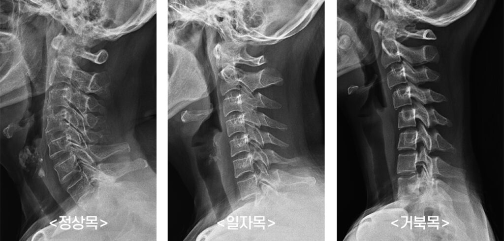
목디스크 환자 중에 목디스크 증상으로 느끼게 될수 있다고 하며 두통의 경우 목에서 뇌로 높게 되는 혈관 또는 신경이 압박되어 원만한 순환이 되지 않으니 생겨날 수 있고 환자분들께서 체감할 수 있는 어지럼증, 이명, 어지럼증, 현기증, 두통입니다. 그리고 목과 맞닿은 경추 신경이 자극을 받아 발생하는 증상으로 해로운 자세로 수세기 스마트폰을 본다거나, 책을 읽은 것, 컴퓨터사용을 하여 거북목 증상이 일어나는 되었다면 빈번히 발생할 수 있어요.
목디스크 증상 -목과 어깨에 불편함
목디스크 증상 초기에는 목과 어깨에 통증이 최고 처음 나타나는데요 하루종일 근육이 뻐근함을 느끼며 찌릿함을 알게되는 통증도 나란히 동행한다고 해요.






목디스크 증상 - 사지마비
목디스크 증상으로는 뇌졸중처럼 하반신이 마비되면서 뻣뻣하면 한쪽 다리만 마비가 올수도 있다고 합니다 그렇기 때문에 목디스크 증상이 있을 경우에는 신속하게 내방하셔서 진료를 받아보시길 권유드립니다.






목디스크 증상 -목근육 경직
목디스크로 인해 목근육이 긴장되는 경우도 있다던데요 근육 경직이 왔을 때는 하던 일을 그치고 스트레칭을 해주시면 도움이 될수있으며래도 풀리지 않고 지속적으로 경직상태가 일어날경우네느 병원을 방문하셔서 진료 후 처방을 받으시는 게 좋다고 해요.
목디스크 증상 -손가락 저림
목디스가까스로에는 단순히 목만 결리거나 통증이 발생하는게 아니라 어깨와 팔도 저린 증상이 나타나게 되기도 합니다. 보통과 다르게 엄지손가락과 손가락은 청각과 통증이 성격이며 이런 증상이 발생하면 팔을 압박하기 어려워져 육체활동을 위축시키고 근육이 약해진다고 하고요.






목디스크 증상 - 중이염 및 인후두염
증상은 감기나 독감과 비슷하게 느껴질 수 있기 때문에 혼동하기 쉬운 귀 중이염은 귀의 통증, 귀의 붓기, 따끔거림 등으로 발생할 수 있다 하며 목디스크가 인후두나 중이에 자극을 주어 인후두염과 중이염 증상이 발생할 수 있습니다. 인후두염 또한 인후부의 붓기, 목의 통증, 목의 따끔거림, 등으로 생겨날 수 있다고 합니다.






목디스크 증상 - 소화불량
디스크로 인해 다양한 신경이 압박으로 인하여 어지러움을 동반하고 거기에다 더하여 소화 및 원활히 되지 않으며 메스껍거나 안압이 높게되 눈이 빠질 것처럼 통증 발생, 수면장애를 같이할 수 있어요.
목디스크 증상 - 근육 약화
목디스크는 경추 디스크의 이색적인 위치에서 벗어나서 신경에 압박을 가할 때 일어나는 질환이고요. 이로 말미암아 근육에 약화가 생겨날 수 있기도하고, 손의 근육이 약해지거나 일부 거동이 억제될 수 있다고 합니다. 이러한 증상은 보통 압박이 있는 신경이 어떠한 부위에 위치하는지에 따라 변화합니다.






★ 목디스크 치료방법 ★
목디스크 치료방법 - 물리치료
물리치료는 근육을 강화해주고 통증을 완충하는 데 좋은 효과를 보인다고. 초음파치료, 전기 치료, 마사지, 뜸 등이 특징적인 물리치료 방법이며
추나용법, 침, 뜸등이 보조요법으롬 많이 활용하며 통증 이완 및 다스려 낫게 하는데 탁월하다고 합니다.



목디스크 치료방법 - 견인 치료. 물리치료
견인하여 신경 압박 정도를 적당히 감해주는 견인 치료. 물리치료는 꾸준하게 해주어야지만 바람직해요.






목디스크 치료방법 - 끈기있는 스트레칭
스트레칭은 근육 긴장을 해결해주어 통증을 완충하는데 능률적인데요 목디스크의 경우에는 목뿐 아니라 어깨, 가슴 스트레칭을 나란히 해주는 게 바람직해요. 스트레칭운동으로는 근육 강화와 스트레칭 효과를 동시에 누릴 수 있는 운동이기 때문에 무리하지 않은 자세해서 아울러 해주시면 더 효과적이에요.






목디스크 치료방법 - 목디스크 베개를 사용
목디스크 증상이나 원인의 강도에 따라 수면시에 취급하는 베개를 선택하여 취급하는 것을 추천해 드립니다.
목디스크 환자는 높은 베개를 다루는 것이 좋고 높은 베개를 잘 이용하면 머리와 목이 일직선을 이루기 때문에 목의 굴곡이 풀리고 가뿐한 자세를 취할 수 있다는 점이라고 합니다. 목을 지지해 주는 베개 또는 목베개를 사용했을 시에 형태가 흐트러지지 않은 베개를 골라야지만 목을 지지해 줄 수 있어어 바람직해요.






목디스크증상으로 기인해 팔다리 저림 증상을 예방하기 위하므로서는 목디스크 스트레칭과 운동은 증상 완화와 자연요양에 귀중한 역할을 해요.
평소에 공정한 자세를 지속하며 목부위 스트레칭을 아울러 해주시면서 공정한 자세로 운동을 하는 것을 권유드립니다. 일상생활 속에서의 마땅한 습관을 가지었으므로써 예방 방법 억제할 수 있어요.