오늘은 백내장 초기증상에 대하여 좀 더 꼼꼼하게 정리하고 체크해 드리겠습니다
백내장은 주로 50세 이상의 연령층에서 나타나는 눈의 질병 중의 하나로 과거에는 알고 있었으나 현대에는 연령대가 저하되면서 30대 후반부터 40대에서부터 백내장이 발생할 수 있어요. 눈에 노화가 진행이 도면서부터는 60세 이상은 백내장이 발생할 확률이 높으면서 요인으로는 당뇨병, 고혈압, 유전적인 요인, 수세기 자외선노출 (햇볕에 노출)등이 있을 수 있답니다.






백내장 초기에는 비문증이나 눈의 피로감을 느끼게 되고 있는데요 백내장 증상이 진행되며 마치 안갯속에서 물건을 보는 것 같은 시야가 혼탁해지게 되고 한 눈을 가려도 물체가 둘로 보이는 복시가 발생할 수도 있다고 해요. 시간이 지나며 시력은 점차 쇠락하여 물체의 명암만 보이다가 결국 실명하게 되고요. 백내장으로 시력장애가 발생하고 실명되는 경우는 보통 수년 동안에 걸쳐 서서히 나타나게 되는 증상이지만 당뇨병이나 외상이 원인이 되는 경우에는 민첩하게 진행을 한다고 해요.



백내장 초기증상 - 근시
이전에는 책을 읽기 위해 돋보기가 필요했다고 하지만 급격히 안경을 쓰지 않더라도 가까운 물체가 잘 보이는경우 백내장 초기 증상에 오는 근시일수도 있답니다. 하지만 너무너무 한시적이며 백내장이 점차 불투명해지면서 잘 보였었던 현상은 떨어지게 된다 하해요. 또한 원거리 시력이 떨어뜨리고 근거리 시력이 개조되는 증상은 수정체 중심에 혼탁이 생겼을 때 흔하게 생겨날 수 있는 증상입니다
백내장 초기증상 - 눈의 빛 반사
백내장 초기 과정에서는 눈이 빛을 반사하게 성향이 있고 사물을 볼때 뿌옇고 빛반사로 눈의 렌즈가 투명하지 않기 때문에 출현하는 현상이에요.






백내장 초기증상 - 유전적
가족 중 백내장 환자가 있을 경우, 해당 질병을 생겨날 가능성이 높은것으로 알려져 있어요.



백내장 초기증상 - 주맹현상
주맹현상이란 밝은 곳에서는 외려 시력이 떨어트리고 깜깜한 곳에서 더 잘 보이는 것인데요 백내장이 일으키게 보면 이 주맹증상도 같이 동반해서 생겨날 수 있다고 하며 깜깜한 밤보다 낮에 눈이 잘 보이지 않을 때 백내장임을 생각해 보시고 진료를 받아보시는 걸 권장드려요.
백내장 초기증상 - 눈의 감각 전환
수정체의 투명도가 잃어 가면서 빛이 눈에 들어오는 계획이 전환되어 눈이 감각이 예민해지기도 해요. 눈꺼풀이 급작스레 내려오는 것 같은 눈이 견디기 힘든 이물감을 느껴지는 경우도 있어요.



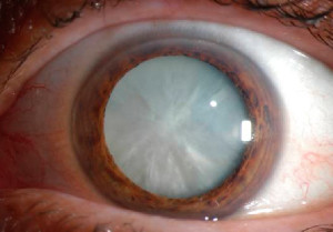
백내장 초기증상 - 수정체 혼탁
눈의 수정체가 투명했던 부분이 다양한 까닭 들로 인해 모르는 사이에 조금씩 하얗게 변하면서 혼탁해지고 사물의 거리와 관계없이 시력이 감소와 눈에 불편함이 출현하는 나게됩니다. 안구의 수정체가 혼탁해지는 속도와 범위에 따라서 초기, 중기, 말기 세 스탭로 나눌 수 있어요.
1. 수정체의 부분적 혼탁일경우는 단안복시이며 한편눈으로 봐도 사물이 두 개로 겹쳐 보이는 증상을 단안복시라고 해요.
2. 수정체의 중앙부 혼탁일경우 가지가지 백내장 증상이 생각됩니다니다. 이 시기에 백내장의 증상으로는 시야가 답답하고 이물감이 느껴질 수 있다고 하며 바느질, 독서등 근접으로 이용해야 한다고 하는 눈시야에 불편함을 야기해요.



백내장 초기증상 - 눈물이 많아짐
백내장 초기 증상 중 한가지는 눈물의 분비가 많아지며 눈이 걸핏하면 히 따끔거리는 증상으로 일어날 수 있답니다.
백내장 초기증상 - 컬러의 전환
백내장이 진행되기로 하면서 사물의 컬러밝기, 대비가 떨어지며 잘보이지않은 증상이 있답니다.



백내장 초기증상 진단해보기
☞빛이 퍼져 보이는 경우
☞가까운 물체가 더 잘 보이는 경우
☞사물이 겹쳐 보이는 경우
☞시야가 뿌옇고 불편한 경우
☞시력이 떨어트리고 흐림 증세가 있는 분들은
☞눈이 깜깜하고 색 구별이 어려운 경우
☞안경이나 돋보기를 착용해도 선명하게 보이지 않는 경우
☞밝은 곳보다 깜깜한 곳에서 시력이 더 좋다고 감지하는 경우
3개 이상이 체크가될경우에는 백내장 초기증상을 의심하시고 진료를 받아보시는 것이 좋을듯해요.
백내장 수술할 경우는 혼탁한 수정체를 제거한 후 인공 수정체 임플란트를 눈에 넣어주어요. 인공 수정체는 자연 수정체를 대체하여 선명한 시력을 만들어 주며 사용할 수 있는 인공 수정체 유형은 단초점 렌즈는 원거리 시력이 선명하지만 읽기에는 안경이 필요해요. 다초점 렌즈는 여러 거리에서 선명한 시야를 보급하고 안경의 필요성을 줄여주어요.






백내장의 수술은 외래 수술이며 국소 마취하여 시행되며, 환자는수술당일에도 집으로 돌아갈 수 있다고 하며 며칠 내에 정상적인 활동이 가능해요. 백내장 수술은 일반적을 안전하고 효능적이지만 출혈, 감염, 망막 박리와 비슷한 일부 위험이 있어요.
백내장 수술은 매번 필요하지 않고 백내장 발생 초기 궤도에 안경 처방을 변화하고 확대 렌즈를 취급하는 것만으로도 백내장 증상 을 감독할 수 있는 것으로 확인되어져요.
찾으시는 백내장 초기증상 도움이 되셨으면 합니다. 오늘도 행복하세요